
TECHNIQUE TIPS: While brushing the outside surfaces of your teeth, position the brush at a 45-degree angle where your gums and teeth meet. Gently move the brush in a circular motion several times using small, gentle strokes. Use light pressure while putting the bristles between the teeth, but not so much pressure that you feel any discomfort.
When you are done cleaning the outside surfaces of all your teeth, follow the same directions while cleaning the inside of the back teeth.
To clean the inside surfaces of the upper and lower front teeth, hold the brush vertically. Make several gentle back-and-forth strokes over each tooth. Don’t forget to gently brush the surrounding gum tissue.
Next you will clean the biting surfaces of your teeth. To do this use short, gentle strokes. Change the position of the brush as often as necessary to reach and clean all surfaces. Try to watch yourself in the mirror to make sure you clean each surface. After you are done, rinse vigorously to remove any plaque you might have loosened while brushing.
If you have any pain OR BLEEDING while brushing or have any questions about how to brush properly, please be sure to call the office.
To Floss Or Not To Floss?

The bacteria responsible for periodontal disease usually gain a start between the teeth where your toothbrush cannot reach. Many patients think (or hope) that oral water irrigation is effective, but in reality, flossing is the most effective way to remove plaque from those surfaces. However, it is important to develop the proper technique with floss. Our hygienists will help with your technique to practice this preventive step until it becomes easy for you!
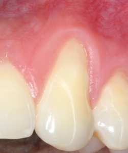
Caring For Sensitive Teeth
Sometimes after dental treatment, teeth are sensitive to hot and cold. This should not last long, but only if plaque is removed daily. If the mouth is not kept clean the sensitivity will remain and could become more severe. If your teeth are especially sensitive, we recommend a medicated toothpaste or mouth rinse containing special forms of fluoride made especially for sensitive teeth. Two effective rinses are ACT and Phos-Flur; both available over the counter at pharmacies.
Sensitivity due to exposed root surfaces can be decreased and prevented from worsening with gum graft procedures. This technique is designed to cover exposed sensitive roots, prevent discomfort and avoiding the risk of decay in soft root surfaces.

Choosing Oral Hygiene Products
Oral irrigators (water spraying devices) will rinse your mouth thoroughly, but will not remove plaque well enough. Automatic and “high-tech” electronic toothbrushes are safe and effective for the majority of the patients. You still need to floss in conjunction with tools. We see excellent results with electric toothbrushes and feel confident in recommending the Sonicare brand.
If you have dexterity or joint problems, there are also tiny brushes (interproximal toothbrushes) that clean between your teeth. These can be very effective when used daily above the gum line, but gum disease starts below the gum line so these products have not been proven to reduce the early stage of gum disease.
Professional Removal Of Plaque And Calculus(Tartar)
Daily brushing and flossing will keep dental calculus (tartar) to a minimum, but a professional hygienist visit will remove calculus in places your toothbrush and floss may have missed. We know from experience that patients prone to have periodontal issues need to have hygiene care more frequently than twice a year. Most of our patients report a genetic factor involved in their condition; this usually means a family member experienced early loss of teeth.
Because of this, our periodontal patients are encouraged to have professional hygiene care at least every 3 months.
With timely professional and preventive care, it is definitely possible to keep your teeth for your lifetime!