Gum Tissue Grafts: What Are They, How Are They Done?
When recession of the gum around teeth occurs, the body loses a natural defense against both bacterial penetration and tissue irritation. Gum recession often results in exposure of tooth root surfaces, leading to root sensitivity, and, if in front teeth areas, an unesthetic appearance.
The exposure of softer root surfaces makes the tooth more likely to develop decay/caries in the roots. Gum recession can cause progression into bone loss and, if allowed to go untreated, can result ultimately in loss of a tooth.
When gum recession is identified, gum reconstruction using grafting techniques is recommended.
Most grafts in our office (BUT NOT ALL) are done with donor tissue (acellular dermis) that has been processed and treated to remove any potential risk for infection. It is approved by the F.D.A. We have used this donor tissue for over 15 years with no adverse effects.
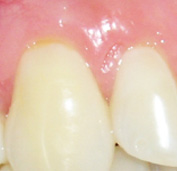
The benefit to you is that no second surgery is necessary to harvest tissue from other areas of the mouth for the graft. The examples below show the before and after appearance of recession sites treated with donor tissue.
Other recession sites are best treated with the patient’s own “connective tissue” due to the anatomy of the supporting bone and gum tissue around certain teeth in the “smile zone”. When necessary, this type of graft is harvested from the roof of the mouth using a new surgery technique that allows the donor site to heal without discomfort. The photos below show grafts done with connective tissue from the upper part of a patient’s mouth.













